
Vàng răng là dấu hiệu của bệnh gì? Chẩn đoán và điều trị. Đây không chỉ là một vấn đề thẩm mỹ, mà còn có thể liên quan đến sức khỏe răng miệng và toàn thân. Khi thấy dấu hiệu vàng răng, nhiều người thường hoang mang và lo lắng về nguyên nhân cũng như các biện pháp khắc phục. Trong bài viết này, chúng ta sẽ cùng tìm hiểu sâu hơn về tình trạng vàng răng, từ nguyên nhân đến phương pháp điều trị hiệu quả.
Vàng răng: Những dấu hiệu cảnh báo bệnh lý răng miệng

Khi nói đến vàng răng, không ít người nghĩ ngay đến việc thiếu chăm sóc vệ sinh răng miệng. Thực tế, vàng răng có thể là dấu hiệu của các vấn đề sức khỏe nghiêm trọng hơn. Thông qua hiện tượng này, cơ thể đang cảnh báo cho bạn về những điều bất thường.
Dấu hiệu vàng răng và tác động đến tâm lý

Một trong những ảnh hưởng lớn nhất của vàng răng là sự tự ti của người mắc phải. Hình ảnh không mấy hấp dẫn của hàm răng có thể khiến nhiều người ngại giao tiếp hoặc gặp khó khăn trong việc biểu đạt cảm xúc. Người bị vàng răng thường cảm thấy mất tự tin và lo lắng khi xuất hiện trước đám đông. Điều này có thể ảnh hưởng đến cả cuộc sống cá nhân lẫn sự nghiệp.
Tình trạng vàng răng và sức khỏe tổng quát

Ngoài tác động về mặt tâm lý, vàng răng còn có thể là dấu hiệu cho thấy sức khỏe tổng quát của bạn đang gặp vấn đề. Một số bệnh lý như viêm nướu, sâu răng hay thậm chí các bệnh lý hệ thống như gan, thận có thể khiến răng chuyển màu. Do đó, việc nhận diện vàng răng cần được kết hợp với việc theo dõi các triệu chứng khác để đưa ra chẩn đoán chính xác.
Triệu chứng kèm theo vàng răng
Đôi khi vàng răng đi kèm một số triệu chứng khác như đau nhức, sưng nướu, tăng cảm giác nhạy cảm với thức ăn nóng lạnh. Nếu bạn cảm thấy những triệu chứng này, hãy nhanh chóng đến nha sĩ để kiểm tra. Việc nhận diện sớm sẽ giúp ngăn ngừa biến chứng nặng hơn, đồng thời bảo vệ sức khỏe răng miệng.
Nguyên nhân gây vàng răng: Từ yếu tố bên trong đến tác động từ môi trường

Có rất nhiều nguyên nhân dẫn đến tình trạng vàng răng, từ yếu tố di truyền, chế độ ăn uống cho đến thói quen sinh hoạt. Nắm bắt rõ nguyên nhân sẽ giúp những người mắc phải vàng răng có hướng xử lý phù hợp.
Yếu tố di truyền và tuổi tác
Di truyền có thể đóng vai trò quan trọng trong việc xác định màu sắc của răng. Đối với một số người, màu sắc tự nhiên của men răng đã có phần vàng hơn những người khác. Thêm vào đó, khi tuổi tác tăng lên, men răng sẽ mòn dần, lộ ra lớp ngà vàng bên dưới, làm cho răng trở nên sẫm màu hơn.
Chế độ ăn uống không lành mạnh
Chế độ ăn uống là một trong những nguyên nhân hàng đầu gây vàng răng. Các thực phẩm như cà phê, trà, nước ngọt có ga, và đặc biệt là thực phẩm chứa màu nhân tạo có thể làm cho răng bị ố vàng nhanh chóng. Việc tiêu thụ những loại thực phẩm này một cách thường xuyên mà không chăm sóc răng miệng đúng cách sẽ gia tăng nguy cơ vàng răng.
Thói quen sinh hoạt xấu
Thói quen hút thuốc lá không chỉ gây hại cho sức khỏe mà còn là một trong những tác nhân gây vàng răng nghiêm trọng. Nicotine và tar trong thuốc lá sẽ bám vào bề mặt răng, tạo thành những mảng bám cứng đầu rất khó loại bỏ. Bên cạnh đó, việc bỏ quên vệ sinh răng miệng hàng ngày cũng là lý do khiến vàng răng trở nên phổ biến.
Phân loại và chẩn đoán các bệnh lý liên quan đến vàng răng

Việc phân loại vàng răng giúp chúng ta dễ dàng nhận diện và chẩn đoán các bệnh lý liên quan. Mỗi loại vàng răng sẽ có cách điều trị khác nhau, vì vậy việc nắm rõ thông tin này là rất quan trọng.
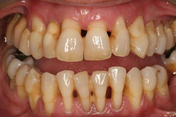
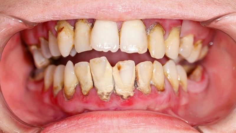
Vàng răng do nguyên nhân bên ngoài
Vàng răng do nguyên nhân bên ngoài thường xảy ra khi răng tiếp xúc với các chất gây màu từ thực phẩm và đồ uống. Mặc dù tình trạng này không phải là bệnh lý nghiêm trọng, nhưng nếu không được can thiệp kịp thời có thể dẫn đến tình trạng sâu răng hoặc viêm nướu.
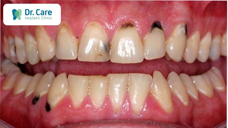
Vàng răng do nguyên nhân bên trong
Ngược lại, vàng răng do nguyên nhân bên trong là dấu hiệu của các bệnh lý nghiêm trọng hơn. Một số bệnh lý có thể gây ra tình trạng vàng răng bao gồm:
- Bệnh gan
- Bệnh thận
- Bệnh tiểu đường
Những dấu hiệu này thường đi kèm với các triệu chứng khác như đau bụng, mệt mỏi, hay thay đổi lượng nước tiểu. Nếu bạn gặp những triệu chứng này cùng với vàng răng, hãy tìm kiếm sự hỗ trợ từ bác sĩ ngay lập tức.
Chẩn đoán vàng răng
Chẩn đoán vàng răng không chỉ đơn thuần dựa trên việc nhìn thấy màu sắc của răng. Nha sĩ sẽ tiến hành kiểm tra tổng quát, hỏi về tiền sử bệnh án và thói quen sinh hoạt của bạn. Một số xét nghiệm có thể được yêu cầu để xác định tình trạng sức khỏe tổng thể và nguyên nhân gây vàng răng.
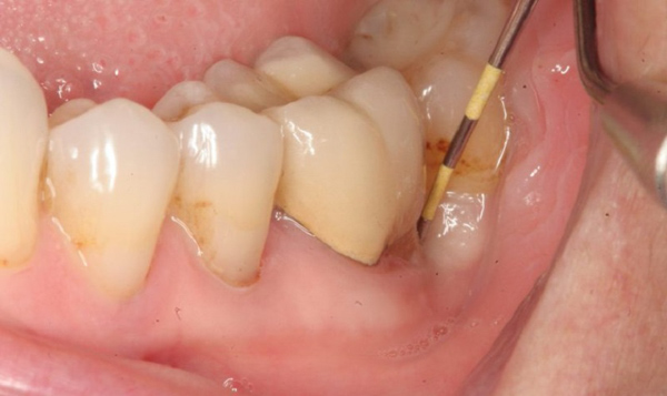
Vai trò của thăm khám nha khoa trong việc xác định nguyên nhân vàng răng

Bất kỳ ai gặp phải tình trạng vàng răng đều nên thăm khám nha khoa định kỳ. Qua việc thăm khám, bác sĩ có thể giúp bạn phát hiện nguyên nhân và đưa ra giải pháp điều trị thích hợp.
Kiểm tra sức khỏe răng miệng tổng quát
Trong quá trình thăm khám, nha sĩ sẽ thực hiện một kiểm tra toàn diện về sức khỏe răng miệng. Họ sẽ xem xét các dấu hiệu của bệnh lý như sâu răng, viêm nướu hay các vấn đề khác có thể liên quan đến tình trạng vàng răng. Nhờ đó, bạn sẽ có cái nhìn rõ hơn về tình trạng sức khỏe răng miệng của mình.
Đưa ra chẩn đoán chính xác
Thăm khám nha khoa giúp bác sĩ đưa ra chẩn đoán chính xác về nguyên nhân vàng răng. Dựa vào kết quả kiểm tra, họ sẽ có thể xác định liệu tình trạng vàng răng của bạn có phải do nguyên nhân bên ngoài hay bên trong. Từ đó, bác sĩ sẽ đề xuất hướng điều trị hợp lý.
Lên kế hoạch điều trị và phòng ngừa
Sau khi xác định nguyên nhân vàng răng, nha sĩ sẽ tư vấn cho bạn về các phương pháp điều trị cụ thể. Đồng thời, họ cũng sẽ đưa ra các biện pháp phòng ngừa để tránh tình trạng vàng răng tái phát trong tương lai. Những thông tin này rất quý giá, giúp bạn duy trì sức khỏe răng miệng tốt hơn.
Phương pháp điều trị vàng răng hiệu quả và an toàn

Khi đã xác định được nguyên nhân gây vàng răng, việc lựa chọn phương pháp điều trị là vô cùng quan trọng. Có nhiều phương pháp khác nhau, tùy thuộc vào tình trạng vàng răng của từng người.
Tẩy trắng răng
Tẩy trắng răng là một trong những phương pháp phổ biến nhất để cải thiện màu sắc của răng. Quá trình này thường sử dụng các chất tẩy trắng chuyên dụng nhằm loại bỏ vết ố vàng trên bề mặt răng. Dù đây là phương pháp hiệu quả nhưng cần thực hiện dưới sự giám sát của nha sĩ để đảm bảo an toàn.
Điều trị bằng vật liệu phục hình
Trong trường hợp vàng răng nặng hoặc không thể cải thiện bằng phương pháp tẩy trắng, bác sĩ có thể đề xuất sử dụng vật liệu phục hình. Cách này bao gồm việc đặt mão răng hoặc veneer để cải thiện vẻ đẹp và chức năng của răng. Tuy nhiên, đây là phương pháp tốn kém và cần sự cân nhắc kỹ càng.
Sử dụng sản phẩm chăm sóc răng miệng
Ngoài các phương pháp điều trị tại nha khoa, việc sử dụng các sản phẩm chăm sóc răng miệng như kem đánh răng chuyên dụng, nước súc miệng cũng cần được chú trọng. Những sản phẩm này có thể giúp loại bỏ mảng bám và giữ cho răng luôn sạch sẽ, giảm thiểu nguy cơ vàng răng.
Tẩy trắng răng: Ưu điểm, nhược điểm và chỉ định

Tẩy trắng răng là lựa chọn phổ biến cho những ai muốn cải thiện màu sắc của răng một cách nhanh chóng và hiệu quả. Tuy nhiên, phương pháp này cũng có những ưu điểm và nhược điểm mà bạn cần lưu ý.
Ưu điểm của tẩy trắng răng
- Hiệu quả nhanh chóng: Tẩy trắng răng thường mang lại kết quả ngay sau lần điều trị đầu tiên, giúp răng trở nên sáng bóng và đều màu.
- An toàn: Nếu được thực hiện bởi nha sĩ, tẩy trắng răng là phương pháp an toàn và hiệu quả, giảm thiểu tối đa các tác dụng phụ.
- Không xâm lấn: Không giống như các phương pháp phục hình, tẩy trắng răng không cần phải can thiệp vào cấu trúc răng thật.
Nhược điểm của tẩy trắng răng
- Tác dụng tạm thời: Kết quả tẩy trắng răng có thể không kéo dài mãi mãi và cần được duy trì qua việc chăm sóc răng miệng đúng cách.
- Cảm giác nhạy cảm: Sau khi tẩy trắng, nhiều người có thể gặp cảm giác nhạy cảm với thức ăn nóng lạnh, và tình trạng này có thể kéo dài trong một thời gian.
- Chi phí: Chi phí cho từng liệu trình tẩy trắng có thể khá cao, và không phải ai cũng có khả năng chi trả.
Chỉ định tẩy trắng răng
Tẩy trắng răng thường được chỉ định cho những người có răng vàng do các yếu tố bên ngoài như thực phẩm, thuốc lá. Tuy nhiên, nếu bạn gặp tình trạng vàng răng do bệnh lý hoặc nguyên nhân bên trong, thì nên tham khảo ý kiến bác sĩ để chọn phương pháp điều trị phù hợp hơn.
Điều trị phục hình răng: Giải pháp cho các trường hợp vàng răng nặng

Đối với những trường hợp vàng răng nặng, chỉ việc tẩy trắng có thể không đủ. Lúc này, việc điều trị bằng phương pháp phục hình sẽ là giải pháp tối ưu để khôi phục lại vẻ đẹp cho hàm răng.
Mão răng
Mão răng là lớp vỏ bên ngoài được làm từ sứ hoặc vật liệu composite. Phương pháp này giúp che phủ hoàn toàn bề mặt răng, cải thiện màu sắc và hình dạng của răng. Bác sĩ sẽ lấy dấu răng và chế tạo mão răng theo kích thước thật của răng bạn.
Veneer
Veneer là lớp mỏng làm từ sứ hoặc composite được gắn lên bề mặt răng. Phương pháp này giúp cải thiện thẩm mỹ mà không cần phải mài cùi răng nhiều. Veneer thường được sử dụng cho những trường hợp răng bị vàng nhưng vẫn còn khỏe mạnh.
Các phương pháp phục hồi khác
Ngoài mão răng và veneer, bác sĩ còn có thể sử dụng một số phương pháp phục hồi khác như cầu răng hay implant nếu tình trạng vàng răng đã dẫn đến mất răng. Những giải pháp này sẽ giúp khôi phục lại chức năng nhai, đồng thời cải thiện tính thẩm mỹ của hàm răng.
Phòng ngừa vàng răng: Hướng dẫn chăm sóc răng miệng toàn diện

Điều quan trọng nhất trong việc xử lý tình trạng vàng răng chính là phòng ngừa. Việc chăm sóc răng miệng hàng ngày sẽ giúp duy trì màu sắc tự nhiên của răng, đồng thời bảo vệ sức khỏe răng miệng.
Vệ sinh răng miệng đúng cách
Để phòng ngừa vàng răng, việc vệ sinh răng miệng đúng cách là điều cần thiết. Bạn nên đánh răng ít nhất hai lần mỗi ngày, dùng chỉ nha khoa để loại bỏ mảng bám ở những vị trí khó tiếp cận. Đừng quên súc miệng bằng nước súc miệng để loại bỏ vi khuẩn và mảng bám.
Kiểm soát chế độ ăn uống
Chế độ ăn uống là một trong những yếu tố ảnh hưởng lớn đến màu sắc của răng. Hạn chế các thực phẩm và đồ uống gây ố vàng như cà phê, trà, rượu vang, và nước ngọt. Đồng thời, bổ sung nhiều trái cây và rau củ để cung cấp vitamin và khoáng chất cần thiết cho sức khỏe răng miệng.
Thăm khám nha khoa định kỳ
Cuối cùng, việc thăm khám nha khoa định kỳ là rất quan trọng để phát hiện sớm các dấu hiệu vàng răng. Bạn nên tới nha sĩ ít nhất mỗi 6 tháng một lần để kiểm tra sức khỏe răng miệng và thực hiện các dịch vụ vệ sinh chuyên nghiệp.
Chế độ ăn uống và lối sống ảnh hưởng đến màu sắc răng

Chế độ ăn uống và lối sống không chỉ ảnh hưởng đến sức khỏe tổng thể mà còn có tác động lớn đến màu sắc của răng. Việc hiểu rõ những ảnh hưởng này sẽ giúp bạn có cách chăm sóc và bảo vệ răng tốt hơn.
Thực phẩm gây ố vàng
Nhiều thực phẩm như cà phê, trà, soda, và các loại trái cây có màu sắc sẫm đều có khả năng làm cho răng nhanh chóng bị vàng. Ngoài ra, thực phẩm có acid cao cũng có thể làm mòn men răng, khiến lớp ngà bên dưới lộ ra và làm cho màu sắc của răng bị tối đi.
Thói quen sinh hoạt ảnh hưởng đến sức khỏe răng miệng
Các thói quen như hút thuốc lá hay nhai thuốc lá không chỉ gây hại cho sức khỏe mà còn là nguyên nhân hàng đầu gây vàng răng. Nicotine và các hóa chất độc hại trong thuốc lá sẽ bám vào bề mặt răng, làm cho răng bị ố vàng và kém thẩm mỹ.
Lựa chọn thức uống thông minh
Nếu bạn không thể từ bỏ café hay trà, hãy xem xét một số mẹo nhỏ như dùng ống hút để hạn chế tiếp xúc giữa thức uống và răng. Sau khi thưởng thức các loại đồ uống có khả năng gây vàng, bạn cũng nên súc miệng ngay lập tức để giảm thiểu tác động lên răng.
Chi phí điều trị vàng răng: Những yếu tố cần lưu ý

Chi phí điều trị vàng răng có thể thay đổi rất lớn tùy thuộc vào tình trạng cụ thể và phương pháp điều trị được áp dụng. Dưới đây là một số yếu tố cần xem xét.
Phương pháp điều trị
Mỗi phương pháp điều trị vàng răng sẽ có mức giá khác nhau. Tẩy trắng răng thường có chi phí thấp hơn so với việc phục hình bằng mão răng hay veneer. Do vậy, trước khi quyết định, bạn nên tìm hiểu kỹ về các lựa chọn và bảng giá cụ thể tại nha khoa bạn chọn.
Tình trạng sức khỏe răng miệng
Nếu bạn có nhiều vấn đề sức khỏe răng miệng khác như sâu răng hay viêm nướu, chi phí điều trị sẽ tăng cao hơn do cần may thêm các dịch vụ khác. Việc thăm khám sức khỏe định kỳ sẽ giúp bạn tiết kiệm chi phí trong dài hạn.
Địa điểm điều trị
Chọn lựa nha khoa cũng sẽ ảnh hưởng đến chi phí điều trị. Những nha khoa uy tín với đội ngũ bác sĩ kinh nghiệm sẽ có mức giá cao hơn. Tuy nhiên, đây thường là khoản đầu tư xứng đáng cho sức khỏe và sự tự tin của bạn.
Kem đánh răng Colgate Total Plaque Release 95g/tuýp giúp khỏe nướu, ngăn mảng bám hiệu quả gấp 3 lần

Sản phẩm kem đánh răng này không chỉ giúp làm sạch mà còn bảo vệ sức khỏe nướu và ngăn ngừa mảng bám hiệu quả. Với công thức độc quyền, Colgate Total Plaque Release giúp loại bỏ vi khuẩn gây các vấn đề về răng miệng, đồng thời giữ cho răng miệng luôn sạch sẽ và thơm tho.
Công dụng nổi bật
Kem đánh răng Colgate Total giúp làm sạch mảng bám hiệu quả, ngăn ngừa sâu răng và đem lại hơi thở thơm mát. Sản phẩm này còn giúp bảo vệ nướu khỏi viêm nhiễm và các bệnh lý khác, là sự lựa chọn hoàn hảo cho những ai muốn duy trì sức khỏe răng miệng tốt.
Cách sử dụng hiệu quả
Để đạt được hiệu quả tối ưu, bạn nên sử dụng kem đánh răng Colgate Total ít nhất hai lần mỗi ngày. Kết hợp với việc dùng chỉ nha khoa và nước súc miệng để làm sạch triệt để.
Khuyến nghị từ chuyên gia
Nhiều nha sĩ khuyên dùng kem đánh răng Colgate Total như một phần của chế độ chăm sóc răng miệng hàng ngày. Sản phẩm này được chứng nhận hiệu quả và an toàn, giúp bạn bảo vệ nụ cười tự tin và rạng rỡ.
Video

Kết luận
Tình trạng vàng răng không chỉ ảnh hưởng đến vẻ bề ngoài mà còn có thể là dấu hiệu cảnh báo cho nhiều bệnh lý khác nhau. Việc hiểu rõ về nguyên nhân, triệu chứng, và các phương pháp điều trị là rất cần thiết để bạn có thể chăm sóc răng miệng tốt hơn. Hãy nhớ rằng, một chế độ chăm sóc răng miệng hợp lý cùng với việc thăm khám nha khoa định kỳ sẽ giúp bạn bảo vệ sức khỏe răng miệng và duy trì nụ cười rạng rỡ.
Trang Banmuagi.com là nơi giúp bạn mua hàng online chính hãng với giá rẻ nhất thị trường
